форум фотографов - разговоры о фото

Форум фотографов в Беларуси: forum.znyata.com
Смотрите также основной портал фотографов: znyata.com

 




Автор Сообщение
Сообщение  Помогите стоматологам! :)
 
[Не в сети] гость

Сообщения: 7

Профиль

Доброго времени суток!

Выбирал фотоаппарат для съемки в стоматологии и не только и столкнулся с проблемой - хоть и почитал немного матчасть, всё равно не понял, как же выбрать подходящий?..
Собственно, вот суть проблемы: нужен аппарат для очень хорошей макросъемки и более-менее хорошей съемки пейзажей (в т.ч. городских, туризм короче). Довольно важен "автоматизм" при съемке, т.к. кажется, что разобраться, как правильно и красиво настраивать всё это вручную слишком сложно для новичка.

Помогите пожалуйста с выбором :)

Сам я, немного почитав харатеристики, нашел вот эти модели:
Nikon coolpix p7800
Olympus Stylus 1
Olympus XZ-2

Подойдут ли они мне и на какие характеристики стоит обратить внимание?

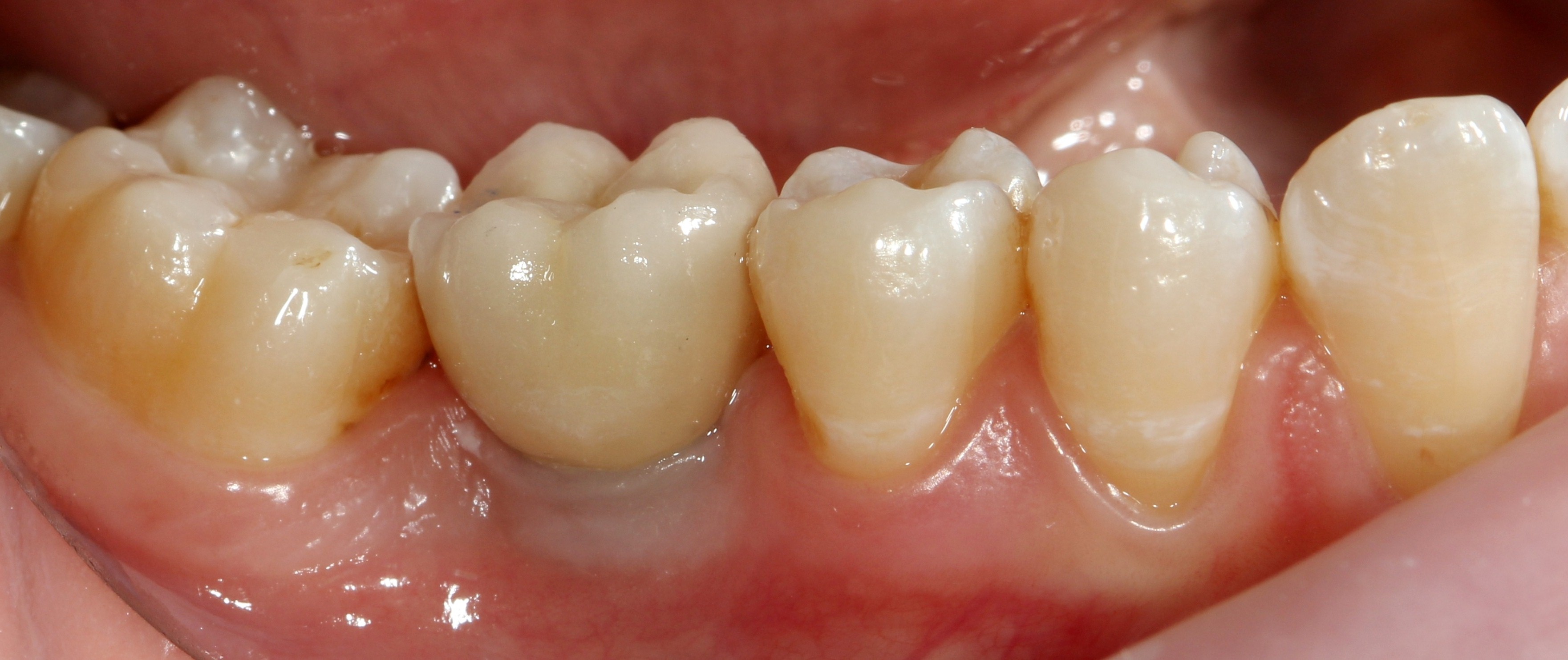
Пробую прикрепить фото макросъемки (фото в открытом доступе, авторские права не нарушены :),)





d29073c86b3c.jpg [ 42.17 Кб | Просмотров: 456 ]


21.jpg [ 640.87 Кб | Просмотров: 466 ]
 
 04 янв, 15 19:03
Сообщение  Помогите стоматологам! :)
 
[Не в сети] Местный житель

Сообщения: 308
Откуда: Lietuva
Камера: ;o)

Профиль

Помнится здесь была похожая темка.
PS
viewtopic.php?f=17&t=31162&start=0&hilit=%D1%81%D1%82%D0%BE%D0%BC%D0%B0%D1%82+%D0%B7%D1%83%D0%B1%D1%8B+%D0%BE%D1%80%D1%82%D0%BE%D0%BF%D0%B5%D0%B4

и вот еще

viewtopic.php?f=3&t=25213&hilit=+%D1%81%D1%82%D0%BE%D0%BC%D0%B0%D1%82+%D0%B7%D1%83%D0%B1%D1%8B+%D0%BE%D1%80%D1%82%D0%BE%D0%BF%D0%B5%D0%B4+


 
 05 янв, 15 12:03
Сообщение  Помогите стоматологам! :)
 
[Не в сети] Местный житель

Аватара пользователя

Сообщения: 1670
Откуда: Minsk
Камера: Pentax

Профиль

ololobasist писал(а):
Сам я, немного почитав харатеристики, нашел вот эти модели:
Nikon coolpix p7800
Olympus Stylus 1
Olympus XZ-2

Подойдут ли они мне и на какие характеристики стоит обратить внимание?
Для съёмки пейзажей эти аппараты очень хорошо подойдёт. Матрица 1/1.7" больше, чем у большинства компактов, а значит и качество снимков будет лучше. Но вот что касается макросъёмки зубов... думаю, не очень удобно будет. Да и надо будет как-то защищать аппарат от, например, слюны.
Тут, думал, лучше подойдёт что-то вроде Pentax (или Ricoh) серии WG. Они герметичны, ими можно снимать и под водой. И, к тому же, у них вокруг объектива располагаются светодиоды для подсветки объекта при макросъёмке.


 
 05 янв, 15 16:31
Сообщение  Помогите стоматологам! :)
 
[Не в сети] гость

Сообщения: 7

Профиль

MiK13 писал(а):
Для съёмки пейзажей эти аппараты очень хорошо подойдёт. Матрица 1/1.7" больше, чем у большинства компактов, а значит и качество снимков будет лучше. Но вот что касается макросъёмки зубов... думаю, не очень удобно будет. Да и надо будет как-то защищать аппарат от, например, слюны.
Тут, думал, лучше подойдёт что-то вроде Pentax (или Ricoh) серии WG. Они герметичны, ими можно снимать и под водой. И, к тому же, у них вокруг объектива располагаются светодиоды для подсветки объекта при макросъёмке.


Спасибо большое! По поводу изоляции от слюны и прочих биологических жидкостей - это не имеет большого значения, т.к. непосредственно с ними аппарат не контактирует.

Цитата:
Помнится здесь была похожая темка.

viewtopic.php?f=17&t=31162&start=0&hilit=%D1%81%D1%82%D0%BE%D0%BC%D0%B0%D1%82+%D0%B7%D1%83%D0%B1%D1%8B+%D0%BE%D1%80%D1%82%D0%BE%D0%BF%D0%B5%D0%B4
viewtopic.php?f=3&t=25213&hilit=+%D1%81%D1%82%D0%BE%D0%BC%D0%B0%D1%82+%D0%B7%D1%83%D0%B1%D1%8B+%D0%BE%D1%80%D1%82%D0%BE%D0%BF%D0%B5%D0%B4+


Спасибо, нашел массу полезной инфы, а так же понял, что для грамотной фотографии придётся еще много чему научиться, просто кнопочку нажимать не выйдет :)
===
Если можно, я скину сюда ссылочку с этим вопросом на одном из российских форумов, там я в меру сил отвечал на наводящие и уточняющие вопросы :)
http://club.foto.ru/forum/78/716972#p10767103

Сюда продублирую модели аппаратов, к которым пришли на данный момент.

Canon EOS 350D
Canon Powershot A620
Canon Powershot A3000 IS
Fujifilm XQ1
Sony Cyber-shot DSC-TX30
Panasonic Lumix DMC-GX1 Kit + объектив Olympus ED 12-50mm f/3.5-6.3 EZ
Nikon D3200 / D3300 / D5100 + 40mm f/2.8G или 60mm f/2.8G.


 
 05 янв, 15 21:24
Сообщение  Помогите стоматологам! :)
 
[Не в сети] Местный житель

Сообщения: 308
Откуда: Lietuva
Камера: ;o)

Профиль

Не все так плохо, док.
Попробуйте любую недорогую мыльницу с хорошим макро (есть камеры,которые позволяют снимать от 1 см от объекта).
Попробуйте без вспышки и с встроенной вспышкой в сочетании с стандартной лампой освещения.
Не исключено что сразу получите результат, который вас устроит.
Не копайте глубоко форумы, а пробуйте.


 
 05 янв, 15 21:56
Сообщение  Помогите стоматологам! :)
 
[Не в сети] гость

Сообщения: 7

Профиль

Сергей Капустин писал(а):
Не все так плохо, док.
Попробуйте любую недорогую мыльницу с хорошим макро (есть камеры,которые позволяют снимать от 1 см от объекта).
Попробуйте без вспышки и с встроенной вспышкой в сочетании с стандартной лампой освещения.
Не исключено что сразу получите результат, который вас устроит.
Не копайте глубоко форумы, а пробуйте.


Спасибо! Но дело в том, что как раз 1 см и т.д. - не совсем удобно... Пробовал делать фото зубов мыльницей за 100уе - по ссылке на другой форум есть фото с помощью него...
Так что прям даже не знаю... :)


 
 05 янв, 15 22:43
Сообщение  Помогите стоматологам! :)
 
[Не в сети] Местный житель

Сообщения: 308
Откуда: Lietuva
Камера: ;o)

Профиль

ololobasist писал(а):
Сергей Капустин писал(а):
Спасибо! Но дело в том, что как раз 1 см и т.д. - не совсем удобно... Пробовал делать фото зубов мыльницей за 100уе - по ссылке на другой форум есть фото с помощью него...
Так что прям даже не знаю... :)


...от 1 см.
Возьмите у коллег фотоаппараты напрокат и выберите то, что вам подходит.
Я подобные предметы снимал олимпусом sp550 uz и дешевенькими мыльницами от кенон.


 
 05 янв, 15 23:03
Сообщение  Помогите стоматологам! :)
 
[Не в сети] гость

Сообщения: 7

Профиль

Сергей Капустин писал(а):

...от 1 см.
Возьмите у коллег фотоаппараты напрокат и выберите то, что вам подходит.
Я подобные предметы снимал олимпусом sp550 uz и дешевенькими мыльницами от кенон.


Про 1 см понял :)
К сожалению, немногие коллеги пользуются...
А можете показать фотографии?


 
 05 янв, 15 23:13
Сообщение  Помогите стоматологам! :)
 
[Не в сети] Местный житель

Сообщения: 308
Откуда: Lietuva
Камера: ;o)

Профиль

ololobasist писал(а):
Сергей Капустин писал(а):

...от 1 см.
Возьмите у коллег фотоаппараты напрокат и выберите то, что вам подходит.
Я подобные предметы снимал олимпусом sp550 uz и дешевенькими мыльницами от кенон.


Про 1 см понял :)
К сожалению, немногие коллеги пользуются...
А можете показать фотографии?

Я снимал макропрепараты с расстояния чуть большего, чем нужно вам. Архива с собой нет.
Завтра попробую мыльницей чего-нибудь сообразить.


 
 05 янв, 15 23:50
Сообщение  Помогите стоматологам! :)
 
[Не в сети] гость

Сообщения: 7

Профиль

Сергей Капустин писал(а):
Я снимал макропрепараты с расстояния чуть большего, чем нужно вам. Архива с собой нет.
Завтра попробую мыльницей чего-нибудь сообразить.


Буду очень признателен :)


 
 06 янв, 15 15:50
Сообщение  Помогите стоматологам! :)
 
[Не в сети] Местный житель

Сообщения: 308
Откуда: Lietuva
Камера: ;o)

Профиль

Мыльница кенон со слабым макро- режимом. Со вспышкой и без.


3.jpg [ 24.17 Кб | Просмотров: 10688 ]



4.jpg [ 24.05 Кб | Просмотров: 10691 ]


Если взять камеру с режимом "супермакро", то это может решить все ваши проблемы. В принципе можно будет делать дискретные фото зубов, как на вашей первой фотографии.


 
 06 янв, 15 16:47
Сообщение  Помогите стоматологам! :)
 
[Не в сети] гость

Сообщения: 7

Профиль

Сергей Капустин писал(а):
Мыльница кенон со слабым макро- режимом. Со вспышкой и без.

Если взять камеру с режимом "супермакро", то это может решить все ваши проблемы.


Хорошие фото, однако это фронт при хорошем освещении, как, например, получится что-нибудь темное в глубине рта?..
Прикреплю фото, снятое дома на 100уешную штуковину.

http://album.foto.ru/photos/pr0/553217/3840074.jpg
http://album.foto.ru/photos/pr0/553217/3840075.jpg

Наверное можно было бы поднастроить, и фото такого плана получались бы ничего, однако про фото чего-то непосредственно в полости рта боюсь и помечтать не выйдет...

И что по поводу камер, из списка выше - можно брать любую, или какие-то из них точно не подойдут?


 
 06 янв, 15 17:10
Сообщение  Помогите стоматологам! :)
 
[Не в сети] Местный житель

Сообщения: 308
Откуда: Lietuva
Камера: ;o)

Профиль

ololobasist писал(а):

Хорошие фото, однако это фронт при хорошем освещении, как, например, получится что-нибудь темное в глубине рта?..


Так у вас же на рабочем месте есть стационарная бестеневая лампа. Плюс вспышка камеры.

ololobasist писал(а):
Прикреплю фото, снятое дома на 100уешную штуковину.


http://album.foto.ru/photos/pr0/553217/3840074.jpg - не в фокусе или смаз
http://album.foto.ru/photos/pr0/553217/3840075.jpg - гут.

ololobasist писал(а):
Наверное можно было бы поднастроить, и фото такого плана получались бы ничего, однако про фото чего-то непосредственно в полости рта боюсь и помечтать не выйдет...


Нужно пробовать

ololobasist писал(а):
И что по поводу камер, из списка выше - можно брать любую, или какие-то из них точно не подойдут?


Я бы не покупал ничего специально и тем более новую камеру.
Я бы поискал в местной барахолке бу со стабилизацией, "супермакро" режимом и возможностью возврата камеры в течение пары дней, если она для этой цели не подойдет.
Ключевой момент - наличие "супермакро" и стабилизатора.
Удачи.

PS например, вот


 
 06 янв, 15 18:02
Сообщение  Помогите стоматологам! :)
 
[Не в сети] гость

Сообщения: 7

Профиль

Сергей Капустин писал(а):
Так у вас же на рабочем месте есть стационарная бестеневая лампа. Плюс вспышка камеры.

Не знаю, хватит ли её толком, тяжело равномерно распределить её свет, тени и неосвещенные места всё равно есть...

Цитата:
Я бы не покупал ничего специально и тем более новую камеру.
Я бы поискал в местной барахолке бу со стабилизацией, "супермакро" режимом и возможностью возврата камеры в течение пары дней, если она для этой цели не подойдет.
Ключевой момент - наличие "супермакро" и стабилизатора.
Удачи.

PS например, вот


Спасибо вам огромное за ссылку и совет! Связался, буду покупать и учиться, там видно будет :) Еще раз спасибо :)


 
 06 янв, 15 22:51
Показать сообщения за:  Поле сортировки  
Начать новую тему Ответить на тему  Помогите стоматологам! :)

 


Кто сейчас на конференции

Сейчас этот форум просматривают: нет зарегистрированных пользователей и гости: 6


Вы не можете начинать темы
Вы не можете отвечать на сообщения
Вы не можете редактировать свои сообщения
Вы не можете удалять свои сообщения
Вы не можете добавлять вложения

cron
  



Форум Фотографов в Беларуси
© 2004 - 2021  
znyata.com
Scripts based on phpBB © phpBB Group

  


Фотограф