форум фотографов - разговоры о фото

Форум фотографов в Беларуси: forum.znyata.com
Смотрите также основной портал фотографов: znyata.com

 




Автор Сообщение
Сообщение  Нужен совет.
 
[Не в сети] Местный житель

Аватара пользователя

Сообщения: 259
Откуда: Минск

Профиль

Уважаемые коллеги! Посоветуйте пожалуйста оборудование для качественной съемки в области стоматологии.
Мой друг- очень хороший врач-стоматолог!:) Ему необходимо делать хорошие снимки своих работ, презентации и т.д.
Я помню что подымалась такая тема и сам я в ней писал, но там не совсем понятно про вспышку.
Исходные данные:
Предполагается боди nikon 3200 c китовым об. для жизни.
Нужно- макро -?
Вспышка-?

_________________
nikon-canon-nokia


 
 11 июл, 12 13:12
Сообщение  Нужен совет.
 
[Не в сети] Местный житель

Сообщения: 312
Откуда: Минск
Камера: Canon 5D MkII

Профиль

Мне кажется, нужен макро-объектив и кольцевая вспышка. Тушку можно брать самую дешевую.


 
 11 июл, 12 16:10
Сообщение  Нужен совет.
 
[Не в сети] Местный житель

Сообщения: 369
Откуда: Минск
Камера: Rolleiflex

Профиль

Вспышка не нужна: во-первых, вы все равно с ней не развернетесь, а во-вторых, в стоматологических кабинетах есть осветители с рефлекторами, дают очень хороший свет. На счет макрушника тоже спорно: приличный стоит денег, мне кажется можно вполне и китовым обойтись.

_________________
Я фотографирую потому, что ещё не умею этого делать. Если бы умел, то перестал бы. Йозеф Судек


 
 11 июл, 12 16:31
Сообщение  Нужен совет.
 
[Не в сети] Местный житель

Сообщения: 326
Откуда: Минск

Профиль

Кстати а зачем зеркалка?Почему не какойнить некс или 4/3?

_________________
Какие Бермуды,такие и треугольники


 
 11 июл, 12 17:01
Сообщение  Нужен совет.
 
[Не в сети] Местный житель

Сообщения: 312
Откуда: Минск
Камера: Canon 5D MkII

Профиль

Вообще-то да... Света там у них много, это точно. При таких раскладах вообще от зеркалки мало толку. Хорошая мыльница будет сподручней.


 
 11 июл, 12 17:26
Сообщение  Нужен совет.
 
[Не в сети] Местный житель

Аватара пользователя

Сообщения: 259
Откуда: Минск

Профиль

Спасибо всем за ответы. Света там много, но это не фотостудия)
Пациент сидит с открытым настеж ртом, а вы бегаете и эксперементируете))
Делать там надо все деликатно , в процессе, с предсказуемым результатом.
Зеркалка потому как для себя человеку хочется. Наверно главным образом вопрос- какой макрообъектив? и какая вспышка?

_________________
nikon-canon-nokia


 
 12 июл, 12 7:40
Сообщение  Нужен совет.
 
[Не в сети] Местный житель

Сообщения: 1499

Профиль

Леша, я думаю, что лучше чем Толя Дрибас или Володя Блинов, тебе мало кто все расскажет :). Если нет телефонов - спрашивай


 
 12 июл, 12 8:26
Сообщение  Нужен совет.
 
[Не в сети] Местный житель

Аватара пользователя

Сообщения: 1670
Откуда: Minsk
Камера: Pentax

Профиль

Алексей Брагин писал(а):
Пациент сидит с открытым настеж ртом, а вы бегаете и эксперементируете))
Делать там надо все деликатно , в процессе, с предсказуемым результатом.
Чтобы был предсказуемый результат, нужно очень хорошо знать условия съёмки. Которые зависят от многих параметров. Поэтому без экспериментов не обойтись.
И неужели Вы -- единственный человек, кто в этом заинтересован? Неужели нет никого больше, на ком можно было бы "поэкспериментировать"?
Алексей Брагин писал(а):
Зеркалка потому как для себя человеку хочется. Наверно главным образом вопрос- какой макрообъектив? и какая вспышка?
Думаю, что при хорошем освещении компакт даст вполне достаточное качество снимка. А работать с ним будет гораздо удобнее. Хотя зеркалка позволит снимать с большего расстояния, что тоже может оказаться удобнее.
Но если всё-таки хочется зеркалку... думаю, что никакой принципиальной разницы между разными моделями не будет.
Макрообъектив -- тоже никакой принципиальной разницы не будет.
Но надо учитывать, что чем больше ФР у объектива, тем с большего расстояния можно будет снимать. Это может оказаться в чём-то удобнее.


 
 12 июл, 12 11:54
Сообщение  Нужен совет.
 
[Не в сети] Местный житель

Сообщения: 312
Откуда: Минск
Камера: Canon 5D MkII

Профиль

Экспериментировать - можно. Никто не мешает позвать друга-знакомого-коллегу, посадить в кресло, и за полчаса выяснить, как лучше снимать в спокойной обстановке.
Мне все-таки кажется, что зеркалка в условиях, когда объект статичен и света много, а конечный кадр не будет художественным, и не будет печататься на А3 формат, абсолютно никаких преимуществ не дает. Шума будет немного при хорошем освещении. Скорость фокусировки тоже не нужна. Малая глубина резкости - не нужна. Даже наоборот, будет скорее мешать, тут компакт камера предпочтительней. Да и пациенту будет не так наряжно, что ему в рот лезут с огромной дурой и длинным объективом. И практически любой компакт прекрасно фокусируется на маленьких расстояниях.
Если все-таки зеркалка, то вспышку надо брать кольцевую, типа http://catalog.onliner.by/sigma/em140dg/ такой вот. Объектив - любой недорогой макро, вроде http://catalog.onliner.by/sigma/1770mmf2845dcmac/


 
 12 июл, 12 12:15
Сообщение  Нужен совет.
 
[Не в сети] Местный житель

Аватара пользователя

Сообщения: 688

Профиль

Идеальный вариант Nikon D5100\D3200 + 40 mm 2/8 Macro Nikkor
Будут снимки как в глянцевый журнал, удобная маленькая камера с поворотным экраном + резкий, компактный и недорогой макро объектив.

Китовым не получится снять абсолютно ничего - на приближении у него будет темный 5.6 рисунок который сольет зубы с небом в одну кашу. Вспышка тоже не поможет и не нужна абсолютно.
3100 камера устаревшая, она плохо прорабатывает тени и оттенки. Надо брать 5100 или 3200 и снимать ими без вспышки.

Для снимков зубов малая глубина резкости и МАКРО - НЕОБХОДИМОСТь. Чтобы выделить визуально именно зубы и участок где проводилась работа.

Можете еще обратить внимание на 60 2.8. Он дороже, но возможно фокусное 60 будет более удобным.

_________________
уууУУУУ


 
 12 июл, 12 14:29
Сообщение  Нужен совет.
 
[Не в сети] Молчун

Аватара пользователя

Сообщения: 109

Профиль

Алексей Брагин Еще актуально? Могу подсобить :wink:


 
 19 июл, 12 21:45
Сообщение  Нужен совет.
 
[Не в сети] Местный житель

Аватара пользователя

Сообщения: 259
Откуда: Минск

Профиль

Спасибо всем кто нашел время написать пару слов. Всю информацию передам обязательно своему другу-доктору. Пусть размышляет.От него вам тоже большое спасибо. *DRINK*
на самом деле экспериментировать можно и нужно на друзьях и коллегах. Согласен.

PS. Мой совет тоже компакт, но и против зеркалки мало аргументов у меня ))

_________________
nikon-canon-nokia


 
 19 июл, 12 22:32
Сообщение  Нужен совет.
 
[Не в сети] гость

Сообщения: 4

Профиль

Доброго вечера всем! Я и есть тот самый стоматолог))) Хочу немного уточнить, чего я хочу добиться в стоматологическом фотографировании. Это качественное макро зубов и десен с максимально стабильной цветовой передачей. Даже не так - с максимально постоянной цветовой гаммой на фото(уж простите, если термины использую не совсем корректные)
Сразу скажу, что я самый что ни на есть жОсткий чайник в фотографии, и все свои снимки исполняю только в авто режиме. Камера у меня Nikon Coolpix 990(трансформер)))), старая, почти как я сам. Насмотревшись на фотографии более продвинутых зарубежных(даже близко зарубежных) коллег понял, что из всего, что у меня есть подходящего для снимков есть только желание и стремление. И так, по порядку:
1. Света, не смотря на все имеющееся освещение(очень не слабое) не хватает. Проблема в том, что при изменении угла съемки получаются снимки разных оттенков. Картинка уходит либо в синее, либо в желтое.
2. что касается компакт-камеры - сразу нет, были опыты работы с парой-тройкой разных, но для действительно хорошей макросъемки их не хватает.
3. На моем старичке Никоне оптический зум Х3, цифровой Х4. Но и при полном увеличении и самом что ни на есть хорошем освещении четкость картинки оставляет желать лучшего(по этой причине сразу отказался от компактов)
4. Хочется все-таки выяснить для себя, на какие макро-объективы стоит обратить внимание. Это при всем при том, что тушку я хочу Nikon 3200(уж не знаю, чего на нее запал, наверное знакомое слово)))), и определиться в выборе вспышки - что же все-таки лучше - кольцо, или биполярка. Конечно, вопрос денег тоже немаловажен - хочется отдать за все где-то в районе 1,5 грэндов, но если надо больше, то.... готов затянуть потуже поясок....
В довесок ко всему выкладываю фото, которые я сделал на своей камере, и последнее, как пример того, чего хочу добиться(фотошопом никогда не пользовался - выкладываю все как есть)




Комментарий к файлу: Вид переднего верхнего зуба изнутри(съемка в стоматологическое зеркало)
Вид переднего верхнего зуба изнутри(съемка в стоматологическое зеркало)
DSCN7123.JPG [ 54.39 Кб | Просмотров: 398 ]

Комментарий к файлу: Удалили старую коронку, видим старую вкладку
Удалили старую коронку, видим старую вкладку
DSCN7122.JPG [ 55.3 Кб | Просмотров: 392 ]

Комментарий к файлу: Вид красивых керамических коронок справа
Вид красивых керамических коронок справа
DSCN7141.JPG [ 49.48 Кб | Просмотров: 396 ]

Комментарий к файлу: А теперь вид красивых керамических коронок слева(рот один и тот же))))
А теперь вид красивых керамических коронок слева(рот один и тот же))))
DSCN7142.JPG [ 40.71 Кб | Просмотров: 366 ]

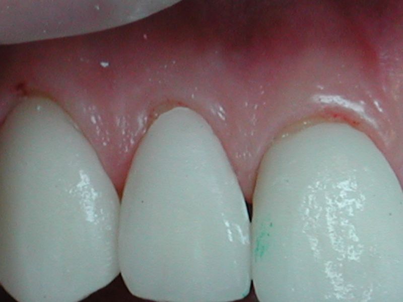
Комментарий к файлу: Макро краевого прилегания керамических коронок к зубам
Макро краевого прилегания керамических коронок к зубам
DSCN7190.JPG [ 47.1 Кб | Просмотров: 395 ]

Комментарий к файлу: Керамические коронки на зеркале. Предполагается, что такой вид очень красивый на слайдах
Керамические коронки на зеркале. Предполагается, что такой вид очень красивый на слайдах
DSCN7206.JPG [ 40.19 Кб | Просмотров: 391 ]

Комментарий к файлу: Красивые керамические коронки - вид спереди
Красивые керамические коронки - вид спереди
DSCN7241.JPG [ 52.04 Кб | Просмотров: 401 ]

Комментарий к файлу: То же - вид сбоку
То же - вид сбоку
DSCN7245.JPG [ 58.02 Кб | Просмотров: 383 ]

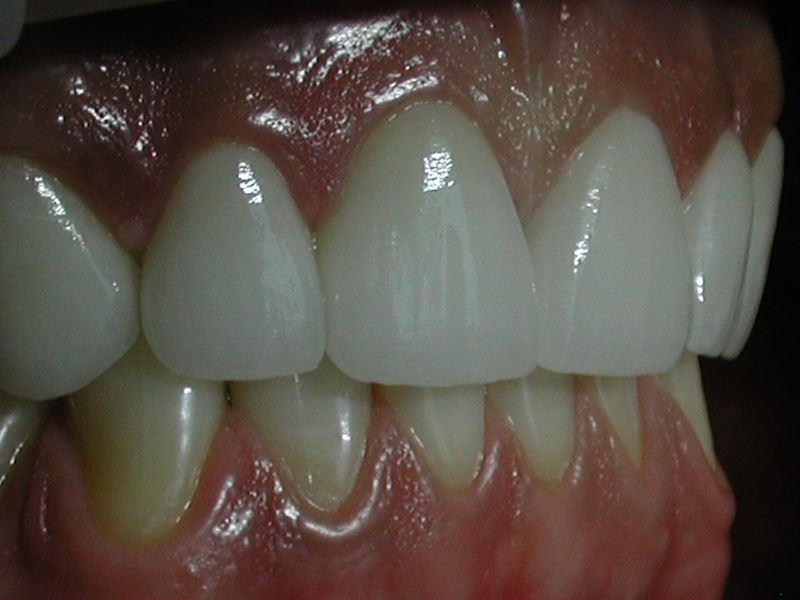
Комментарий к файлу: А вот это - Hi-End в стоматологическом фото в моем понимании
А вот это - Hi-End в стоматологическом фото в моем понимании
.jpg [ 24.53 Кб | Просмотров: 370 ]


Последний раз редактировалось thespy 20 июл, 12 0:54, всего редактировалось 1 раз.
 
 20 июл, 12 0:44
Сообщение  Нужен совет.
 
[Не в сети] гость

Сообщения: 4

Профиль

И еще парочка Хай-Энда




Комментарий к файлу: вот такие макро я бы считал крайне удачными...
вот такие макро я бы считал крайне удачными...
2.jpg [ 38.21 Кб | Просмотров: 382 ]

Комментарий к файлу: Супер макро!!!!
Супер макро!!!!
3.jpg [ 33.04 Кб | Просмотров: 372 ]
 
 20 июл, 12 0:46
Сообщение  Нужен совет.
 
[Не в сети] гость

Сообщения: 4

Профиль

Да, забыл отметить - во всех моих фото вспышка не использовалась, снимал с руки, с максимальным стоматологическим освещением. Но как заметно на 3 и 4 фото - рот один - цвет разный..


 
 20 июл, 12 1:00
Сообщение  Нужен совет.
 
[Не в сети] Местный житель

Сообщения: 312
Откуда: Минск
Камера: Canon 5D MkII

Профиль

Ну, то что могу сказать я: разный цвет у вас из-за того, что камера выставляет баланс белого сама. При съемке в RAW, и последующей обработке эту проблему, мне кажется, можно легко решить. Насчет вспышки... Вам нужен рассеенный свет. Все вспышки и ваши стоматологические лампы - это точечные источники, и дают жесткие блики на всех зубах, мокрых деснах, инструменте и т.п. Вам, опять же, по моему мнению - нужен софтбокс, чтобы так жестоко не бликовало. Или даже два софтбокса, чтобы не было теней.


 
 20 июл, 12 1:20
Сообщение  Нужен совет.
 
[Не в сети] Местный житель

Сообщения: 369
Откуда: Минск
Камера: Rolleiflex

Профиль

Ну давайте еще товарищу посоветуем студийный свет купить. Он же стоматолог, а не фотограф. Повторюсь еще раз: вспышка не нужна. На Nikon 3200 (раз уж на нем остановились) можно без проблем снимать при ISO 1600, а это более чем достаточно. По макрообъективу: Nikon 60mm f/2.8D AF вполне достаточно.
По съемке: да, дело в балансе белого, но опять же, поймите, что товарищ стоматолог. Не будет он сидеть в Лайтруме и баланс белого править, поэтому нужно выставить по белому листу и снимать .

_________________
Я фотографирую потому, что ещё не умею этого делать. Если бы умел, то перестал бы. Йозеф Судек


 
 20 июл, 12 8:13
Сообщение  Нужен совет.
 
[Не в сети] Местный житель

Сообщения: 312
Откуда: Минск
Камера: Canon 5D MkII

Профиль

Ну, я не макрушник, зубы не снимал. Но вот те фотографии, которые приводятся как удачные, очень похоже сняты именно с каким-то рассеяным светом. Может, и студийным.


 
 20 июл, 12 9:09
Сообщение  Нужен совет.
 
[Не в сети] Местный житель

Аватара пользователя

Сообщения: 259
Откуда: Минск

Профиль

Ещё раз спасибо всем. Так вот один из наших корифеев макросъемки (Володя Блинов) посоветовал Nikon 60mm f/2.8D AF который посоветовали ранее:
Reikjavik писал(а):
Можете еще обратить внимание на 60 2.8.
,
Pashkablack писал(а):
Nikon 60mm f/2.8D AF вполне достаточно.

Так что вроде как сходится. По вспышке решишь после покупке тушки и объектива. Если реально хватит родной вспышки, то так тому и быть)

_________________
nikon-canon-nokia


 
 20 июл, 12 9:59
Сообщение  Нужен совет.
 
[Не в сети] Местный житель

Сообщения: 369
Откуда: Минск
Камера: Rolleiflex

Профиль

Алексей Брагин писал(а):
По вспышке решишь после покупке тушки и объектива. Если реально хватит родной вспышки, то так тому и быть)


Встроенную вспышку не использовать ни в коем случае! Попробуйте поснимать пока без вспышки, с тем светом что есть, поднимая ISO. Мне кажется будет то, что надо. Но если уж так хочется купить вспышку, то, имхо, только кольцевую. Но еще раз попытаюсь донести свое мнение: вспышка не нужна.

_________________
Я фотографирую потому, что ещё не умею этого делать. Если бы умел, то перестал бы. Йозеф Судек


 
 20 июл, 12 10:33
Показать сообщения за:  Поле сортировки  
Начать новую тему Ответить на тему  Нужен совет. На страницу 1, 2  След.

 


Кто сейчас на конференции

Сейчас этот форум просматривают: нет зарегистрированных пользователей и гости: 10


Вы не можете начинать темы
Вы не можете отвечать на сообщения
Вы не можете редактировать свои сообщения
Вы не можете удалять свои сообщения
Вы не можете добавлять вложения

cron
  



Форум Фотографов в Беларуси
© 2004 - 2021  
znyata.com
Scripts based on phpBB © phpBB Group

  


Фотограф