форум фотографов - разговоры о фото

Форум фотографов в Беларуси: forum.znyata.com
Смотрите также основной портал фотографов: znyata.com

 




Автор Сообщение
Сообщение  Помогите доктору
 
[Не в сети] Местный житель

Аватара пользователя

Сообщения: 1027
Откуда: Минск
Камера: пустует

Профиль

Сергей Капустин,
*OK* слава Богу, что Вам помощь не нужна. :wink:

_________________
koler.by: color management / управление цветом


 
 10 дек, 11 13:18
Сообщение  Помогите доктору
 
[Не в сети] Читатель

Сообщения: 28

Профиль

Михаил Зайцев
Спасибо за отзыв ,нехотел вызвать ни у кого отрицательных эмоций, извините если так вышло,я умышленно невыкладывал более эфектные фотографии в эмоциональном плане ,чтобы не вызывать неготивных эмоций, но и этого для некоторых оказалось достаночно.

про баланс белого, экспозицию, диафрагму , почитал но пока каша в голове (((((
Только вернулся с семинара по эстетике ,доктор из израиля читал показывал фотки,очень понравились.
Я спросил как и чем он фоткает и какие настройки. Он сказал что понятия неимеет, ему пациент все настроил ,у него по его словам из 10 фоток получается 9, а у меня из 10 одна.Правда фотик у него дорогой лейка как у Медведева

Скажите а что такое кадрирование ?


 
 10 дек, 11 19:59
Сообщение  Помогите доктору
 
[Не в сети] Читатель

Сообщения: 28

Профиль

MiK13
Спасибо за подробный ответ и спасибо за Ваше потраченное время, на создание поста
Диафриагма это лепестки которые пригрывают свет и котролируют поток света на матрицу как я понял а как ее прикрывать?
Это как раз то о чем ВЫ написали ,прицелился на обьект тот который фокусируется и переместить прицел на интересующий?


 
 10 дек, 11 20:12
Сообщение  Помогите доктору
 
[Не в сети] Читатель

Сообщения: 28

Профиль

И еще купил вот такую вспышку

http://www.ebay.com/itm/220593951494?ss ... 1497.l2649

там кнопочку жмеш и она горит постоянно, можно включить три режима
первый горят фонарики кругом
второй горят фонарики полукругом справа
третий горят фонарики только слева


и еще пациенты говорят ,что очень яркая я им очки надеваю непрозрачные черные ,но некоторых это смущает.
А есть такие кольцевые вспышки что бы свет загорался ,только когда фотик фоткает или на всех он горит постояннно как фара

А вообще дентальная фотография оказалась для меня очень полезной ,я увидел некоторые недочеты в своей работе, возникли некотрые вопросы которые раньше не возникали ,я думаю фотография поможет мне вырасти как специалисту ,более быстрыми темпами ,чем без нее

Правда фотик я изгадил, он весь в слюнях и цементе, особенно обьектив корпус обьектива,зачем производители сделали его бархатным ? Для подкольщиков которым все очевидно, в рот его незасовывал на перчатках остается, хватаеш фотик и он пачкается ,заказал себее силиконовый чехол

И еще на обьективи есть тумблер лимит и фул , на лимите фокусировка не получается


Последний раз редактировалось Dantist 10 дек, 11 20:37, всего редактировалось 1 раз.

 
 10 дек, 11 20:20
Сообщение  Помогите доктору
 
[Не в сети] Местный житель

Сообщения: 308
Откуда: Lietuva
Камера: ;o)

Профиль

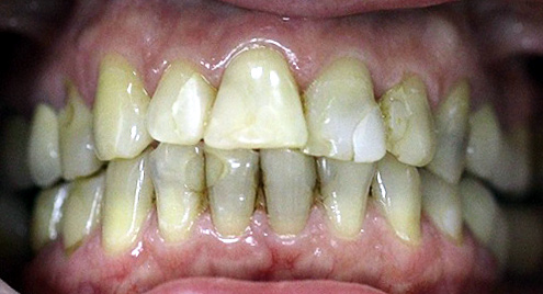
Dantist писал(а):
Скажите а что такое кадрирование ?


Это вот что (посмотрите для сравнения на первое фото)


1d.jpg [ 59.44 Кб | Просмотров: 322 ]


 
 10 дек, 11 20:32
Сообщение  Помогите доктору
 
[Не в сети] Читатель

Сообщения: 28

Профиль

Сергей спасибо ,там не было все так ужасно в жизни, как на фотке которую вы изменили.
Это нечестно получится изменять клинич ситуацию до лечению в хужшую сторону.
Или я нетак все понял?


 
 10 дек, 11 20:40
Сообщение  Помогите доктору
 
[Не в сети] Местный житель

Сообщения: 308
Откуда: Lietuva
Камера: ;o)

Профиль

В исходной фотографии в ФШ обрезано лишнее, исправлен горизонт, автоматически установлены levels. Всего лишь.

Вот фото только с кадрированием.


1e.jpg [ 50.49 Кб | Просмотров: 323 ]



Мы в реале глазом не видим то, что видит матрица, она более объективно отражает реальность. То есть, можно говорить о гиподиагностике ad oculus.

А для того, чтобы понять в какую сторону произошли изменения, нужно сравнивать снимки ДО и ПОСЛЕ лечения, при этом важно стандартизировать условия съемки.


 
 10 дек, 11 21:53
Сообщение  Помогите доктору
 
[Не в сети] Местный житель

Сообщения: 308
Откуда: Lietuva
Камера: ;o)

Профиль

Dantist писал(а):
Фотка 4
Важно показать ,что прилегание каркаса на всех зубах в норме,а не на одном, другие расплывчаты


Здесь необходимо снимать на высоких цифрах диафрагмы (9-16 -- физический диаметр окошка, пропускающего свет, должен быть малым) -- для увеличения глубины резкости.


 
 10 дек, 11 22:19
Сообщение  Помогите доктору
 
[Не в сети] Читатель

Сообщения: 28

Профиль

как технически делается кадрирование?


 
 10 дек, 11 22:25
Сообщение  Помогите доктору
 
[Не в сети] Местный житель

Сообщения: 308
Откуда: Lietuva
Камера: ;o)

Профиль

Кадрирование после съемки производится в редакторе изображений поворотом и обрезкой лишнего в изображении.

Для того, чтобы кадрирование после съемки было минимальным, необходимо проводить кадрирование в момент съемки -- снимать только то что нужно и максимально соблюдать параллельность матрицы камеры и фронтальной поверхности зубов.


 
 10 дек, 11 22:46
Сообщение  Помогите доктору
 
[Не в сети] Местный житель

Аватара пользователя

Сообщения: 1670
Откуда: Minsk
Камера: Pentax

Профиль

Dantist писал(а):
Диафриагма это лепестки которые пригрывают свет и котролируют поток света на матрицу как я понял а как ее прикрывать?
Да, это именно эти лепестки, которые управляют потоком света.
Для того, чтобы получилось нормальное изображение, на матрицу должно попасть определённое количестве света. Этим количеством можно управлять, меняя выдержку и диафрагму. Которые должны быть установлены в зависимости от яркости объекта. В фотоаппарате это устанавливает экспонометр. Но он может их устанавливать по разному, в зависимости от режима съёмки. В программном режиме он устанавливает как выдержку, так и диафрагму. В режиме приоритета выдержки выдержку устанавливает оператор, а экспонометр ставит нужное значение диафрагмы. Вам лучше использовать режим приоритета диафрагмы. При этом оператор ставит нужное значение диафрагмы, а экспонометр -- выдержку. Чем большее значение поставите (чем сильнее её прикроете), тем больше будет глубина резкости, но при этом потребуется более длинная выдержка, которая может привести к смазу изображения. Правда, со вспышкой ситуация немного другая.
Dantist писал(а):
Это как раз то о чем ВЫ написали ,прицелился на обьект тот который фокусируется и переместить прицел на интересующий?
Да, именно это.

Dantist писал(а):
И еще купил вот такую вспышку

http://www.ebay.com/itm/220593951494?ss ... 1497.l2649
Судя по названию, это не вспышка, а просто осветитель, который освещает объект постоянным светом.
Dantist писал(а):
А есть такие кольцевые вспышки что бы свет загорался ,только когда фотик фоткает или на всех он горит постояннно как фара
Вообще-то вспышки должны вспыхивать только в момент съёмки. На то они и вспышки. При съёмке со вспышкой выдержка не играет роли. Она только не должна быть короче той, при которой происходит полное открытие затвора. Если вспышка с TTL-управлением, то она будет сама выдавать нужное количество света. Правда, при этом надо учесть, что чем сильнее закрыта диафрагма, тем больше света выдаст вспышка.


 
 11 дек, 11 1:32
Показать сообщения за:  Поле сортировки  
Начать новую тему Ответить на тему  Помогите доктору На страницу Пред.  1, 2, 3

 


Кто сейчас на конференции

Сейчас этот форум просматривают: нет зарегистрированных пользователей и гости: 3


Вы не можете начинать темы
Вы не можете отвечать на сообщения
Вы не можете редактировать свои сообщения
Вы не можете удалять свои сообщения
Вы не можете добавлять вложения

cron
  



Форум Фотографов в Беларуси
© 2004 - 2021  
znyata.com
Scripts based on phpBB © phpBB Group

  


Фотограф